Магний Водород против гонартроза: Отзыв и личный опыт облегчения боли

Отзыв
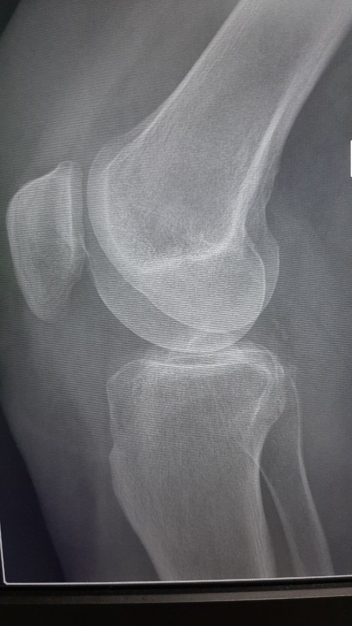
👆Для тех, кто разбирается в снимках, это мои снимки, сделанные в марте текущего года, с диагнозом гонартроз коленного сустава. Те, кто столкнулся с этим заболеванием, прекрасно понимают, какие мучительные боли могут сопровождать каждый день, и даже ночь. Необходимость носить наколенник, а в качестве лечения — только уколы или даже операция… Знакомо?
Артроз колена, или гонартроз, действительно коварен. Одной из главных проблем является постепенное истончение и ослабление костной ткани. На моих снимках отчетливо видны признаки истончения костей, неровности и повреждения хрящевой ткани. Я предпринимала попытки растягивать мышцы передней и задней поверхности бедра, которые поддерживают коленную чашечку, но, к сожалению, делала это нерегулярно.
Почему мышцы так важны? Дело в том, что спазмированные мышцы оказывают колоссальное влияние на состояние нашего скелета. Они, словно якоря, удерживают кости в неправильном положении, вызывая их смещение. Это, в свою очередь, приводит к развитию воспалительных процессов. Кости перестают получать достаточное питание и начинают разрушаться.
Я согласна, что растяжка мышц может принести облегчение, но для достижения долгосрочного результата необходимо воздействовать на организм на клеточном уровне, восстанавливая поврежденные клетки и молекулярную структуру. Именно здесь на помощь приходит магний водород.
Магний Водород: Мой опыт и результаты
Я очень благодарна, что судьба свела меня с компанией Данделион и их уникальными продуктами. Это не просто биологически активные добавки, которые поддерживают организм. Они действительно лечат и омолаживают!
Я принимаю магний водород уже 23 дня, и результаты превзошли все мои ожидания. Самое главное – прекратились ночные боли! Я теперь могу спокойно спать на боку, положив ногу на ногу, чего не могла себе позволить на протяжении многих лет. Кроме того, исчезли жгучие боли сбоку колена, и я снова могу долго ходить – это просто невероятно!
Что именно делает магний водород?
- Восстанавливает мышцы: Делает их более эластичными и гибкими.
- Укрепляет кости: Способствует восстановлению костной ткани.
- Улучшает работу мозга: Поддерживает когнитивные функции.
- Омолаживает организм в целом: Запускает процессы регенерации на клеточном уровне.
Я искренне благодарю Бога за такие чудесные продукты! Продолжаю принимать магний водород, веря в полное исцеление и омоложение всего организма. В следующем году планирую сделать повторный рентген, чтобы поделиться результатами.
Важные нюансы и рекомендации
Важно: Перед началом приема любых добавок, в том числе магния водорода, обязательно проконсультируйтесь с врачом. Это поможет избежать нежелательных последствий и подобрать оптимальную дозировку.
Совет: Сочетайте прием магния водорода с другими методами лечения, назначенными врачом, а также с умеренными физическими нагрузками и правильным питанием. Это значительно ускорит процесс восстановления.
Не забывайте о роли позитивного настроя и веры в себя! Поддержка близких и вера в исцеление – мощные союзники на пути к здоровью.
Экспертный совет: Мастера рекомендуют уделять особое внимание качеству магния водорода. Выбирайте продукты, прошедшие сертификацию и имеющие подтвержденную эффективность.
Пример из жизни: Представьте, как вы просыпаетесь утром без боли, можете свободно двигаться и наслаждаться каждым днем. Это не просто мечта – это реальность, которую можно достичь с помощью правильного подхода к лечению.
Важно помнить: Магний водород – не панацея, но мощный инструмент в борьбе с гонартрозом. Он помогает организму восстанавливаться изнутри, возвращая радость движения и качество жизни.
#магнийводородн2#артрит#артроз
Внутренние ссылки:
Лечение артроза коленного сустава: современные методы

Отправить комментарий